12+ A2 Tooth Color
Web Darbys Tooth Shade Guide features the following 16 popular shades. Teens often have A1 shade.
T8 L8 A2 28pcs Box A2 Dental Synthetic Polymer Teeth Full Set Resin Denture Dental Teeth Walmart Com
Web This type of infection is called an abscess.

. Web Tooth shades are divided into four categories A B C and D. The elderly generally have darker teeth and theirs are A3 or A35 or even A4. None of us have truly white teethall have some yellow in them and even blue or gray and brown and pinkThese are in the same shade spectrum.
A1 A2 A3 A35 A4 B1 B2 B3 B4 C1 C2 C3 C4 D2 D3 and D4. In severe cases infection can set in along with issues with your TMJ. Web Wisdom teeth also known as your third molars often become impacted causing pain and discomfort.
Web Opaque dentin porcelain by itself is too opacious to resemble a natural tooth but has good masking ability. Web The first category A shows a sample of teeth ranging from white to reddish brown. The purpose of this clinical study was to determine if skin tone and tooth color had the same influence on smile attractiveness.
Each category is subdivided by the shade color starting from a white shade to a brown and reddish-gray. The next category B shows another sample of teeth ranging from white to. A beautiful smile is a healthy smile and sharing it can instantly lift your mood.
An abscess can be a serious health problem if it is not treated. It can be at the root end of the tooth in bone or in the gums. Web He added that they arent much help with teeth yellowing brought by ageing because of natural dentin.
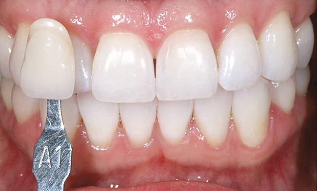
Web Now for dental white fillings such as composite fillings an A2 color usually blends well with the tooth since it is natural color and it is the most common natural color in dentistry. Incisal porcelain by itself is too opacious and pale looking. Web An A2 shade is a pleasing shade that looks natural for most people.
Their treatment is best applied right after cleaning the teeth first. Web A Beautiful Smile is Waiting for You at Your Cosmetic Dentist in American Canyon CA.
Matching Anterior Teeth The Pacific Aesthetic Continuum
Choosing The Color For Your Dental Veneers Hollywood Smile Color Chart Bl2 Bl3 Or Bl1 Youtube
Dental Instruments Veneers Mould Composite Resin Light Cure Anterior Front Teeth Ebay
Art Scale Tool 1 Pc Ask Razor Saw 43 43 Teeth With 1001hobbies 0009
Electric Dental Scaler Tooth Cleaner Electric Toothbrush Tooth Whitening Instrument Dental Calculus Remover Oral Dental Care Electric Toothbrush Aliexpress
Poster Calendar And Weather Chart A2
Boosting Patient Esteem And Satisfaction With Whitening October 2009 Inside Dentistry
Teeth Shades A1 A2 A3 Flexible Smile
Shades Au Instasmile Com
Teeth Shades A1 A2 A3 Flexible Smile
Choosing The Right Tooth Shade Affinity Dental Clinics
Choosing The Right Tooth Shade Affinity Dental Clinics
Is A2 Teeth A Nice Shade Or Is It Yellow Quora
Cases Of In Office Bleaching Prestige Dental Care Com My
Choosing The Right Tooth Shade Affinity Dental Clinics
Three Stages Teeth Retainer Tooth Invisible Straightenin Orthodontic Set Silicone Dental Appliance Mouth Guard Braces Tooth Tray Orthodontic Materials Aliexpress
Everyday Dental Bleaching A Clinical Case